
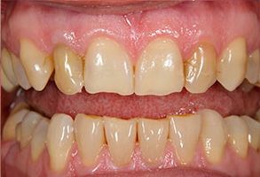
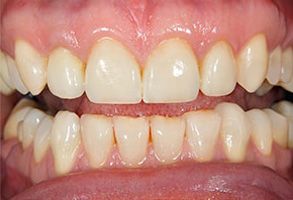
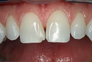
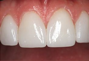
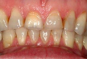
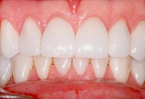
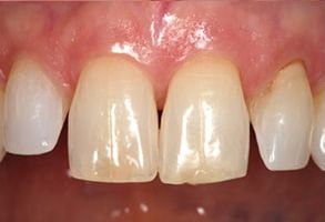
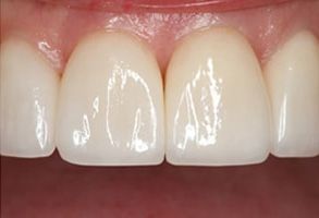
Welcome to the Smile Gallery of Radiant Dental Studio Forest Hills, where we proudly showcase the transformative power of exceptional dental care. From stunning smile makeovers to life-changing restorative treatments, explore real results achieved by our skilled team. Each smile tells a story of renewed confidence and improved oral health. Whether you’re considering cosmetic enhancements, restorative solutions, or orthodontics, these photos demonstrate what’s possible for your unique smile journey. Let us help you create the smile you’ve always dreamed of—your trusted dentist in Forest Hills.














